腰椎间盘突出是有着巨大患者群体的脊柱常见疾病,也是临床最常见的脊柱退行性疾病之一。腰椎间盘突出后如果不做处理,可能导致患者出现腰部疼痛不适、行走障碍、甚至大小便障碍,在生活中有很多人深受腰突症的困扰。

于先生腰痛伴左下肢疼痛多年、加重7天。经朋友介绍就诊于我院脊柱外科专家金成镇博士,患者多年来左侧腰骶部慢性疼、左侧臀部、大小腿外侧疼痛、劳累时加重休息后有所缓解。几天前,劳动后左下肢疼痛突然加重,左侧臀部、大小腿外侧剧烈的放射痛,不能站立行走、不能久坐、平卧后不能翻身,口服止痛药后效果不佳。
![]()

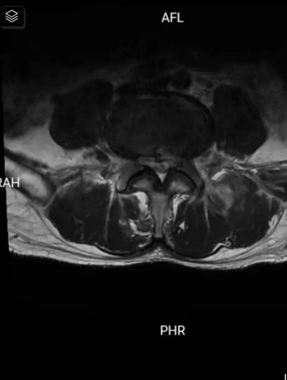
腰椎MRI检查结果提示为腰4/5椎间盘突出压迫神经,临床诊断为腰4/5椎间盘突出症。金博士在与患者沟通时表示:腰椎间盘突出症是较为常见的疾患之一,主要是因为腰椎间盘各部分(髓核、纤维环及软骨板),尤其是髓核,有不同程度的退行性改变后,在外力因素的作用下,椎间盘的纤维环破裂,髓核组织从破裂之处突出(或脱出)于后方椎管内,导致相邻脊神经根遭受刺激或压迫,从而产生腰部疼痛,一侧下肢或双下肢麻木、疼痛等一系列临床症状。而于先生突出的腰间盘碎片很小,这种小的椎间盘突出就好像一个人光着脚走路踩到大的石头不一定会很疼痛,但是踩到又小又尖的小石块会很疼痛一样,所以这种类型椎间盘突出患者往往疼痛感会更加强烈。
![]()
红色线条处是碎块很小的突出的间盘


经皮内镜下腰椎间盘摘除术是目前最微创、最经济的手术,是微创治疗腰椎间盘突出症的最佳选择。在腰椎间盘突出的手术治疗中,手术切口仅为0.7CM,术中基本不出血,并能够保证医生手术过程中在尽可能小的切除正常髓核的情况下,达到神经减压的目的,以最小的代价获取最大的收益。
![]()
术中视野图


大约40分钟左右完成手术,术后疼痛感消失效果立竿见影,于先生轻松下地自行走回病房。“健康所系,生命相托”患者双手合十轻松灿烂的笑脸是对我们工作的最大肯定。
![]()
术后MRI影像图片


术后病人轻松下地自行走回病房
椎间孔镜技术在腰椎间盘突出治疗中的主要优势:
椎间孔镜治疗腰椎间盘突出的优势是可立即缓解疼痛,而且安全性高;
采用局麻可在手术过程中与患者互动,不损害神经和血管,术中基本没 有出血;
手术视野清晰,大大减少了误操作的风险;
手术后即可下地,恢复日常活动和工作,6周后恢复正常运动锻炼;
微创治疗避免了传统手术对椎管和神经的干扰,不破坏椎板、肌肉和韧带,不影响脊柱稳定性;
适应症广,能治疗几乎所有类型椎间盘突出。
![]()
金博士提醒大家:
日常生活中拖地、扫地或者用吸尘器吸地等劳动要小心,尽量保持身体直立。
从地上捡东西时最好保持腰部以上身体直立的姿势先蹲下,而不要直接大幅度弯腰去捡。
从高处拿东西时,严禁身体向后仰,要保持直立。
不要长时间保持一个姿势,避免过度劳累。工作一段时间后稍作运动,或按摩一下腰腿部,或做一会儿体操,并保持正确姿势,以缓解腰部肌肉的紧张。
走路时多运用腹部肌肉,站立时不要双腿同时并齐长时间站立。
硬板床上铺软硬适度的床垫,符合人体脊椎的正常曲线。这样人无论处于哪种睡眠姿势,脊柱都能保持平直舒展,人躺在上面全身能够得到充分放松。
避免寒冷、潮湿的居住及工作环境,在寒热交接的季节注意避免腰椎疾病的复发。
![]()

金成镇博士
骨科副主任
脊柱内镜专家
毕业于韩国The Catholic University医科大学。硕士、博士研究生期间师从韩国著名神经外科微创脊柱外科专家Chun-Geun Park教授和Jin-Sung Kim教授。专注于脊柱退行性疾病的发生发展的研究,常见脊柱疾病的诊断、治疗、康复、术后随访研究,OLIF、ALIF等脊柱微创融合手术技术的研究和临床应用以及脊柱微创手术相关器械和设备的研发。在世界著名微创脊柱外科医疗中心Wooridul Spine Hospital of Korea学习并工作了多年,期间师从著名微创脊柱外科专家Sang-ho Lee教授。系统学习和研究了脊柱内窥镜手术技术和脊柱显微镜手术技术在颈胸腰椎疾病中的应用,熟练掌握了脊柱内窥镜(PELD、PEID、PECD、UBE)技术、脊柱显微镜(OLD、ULBD、ACDF、MIS-TLIF)技术、颈腰椎的人工关节置换术、数字化导航及机器人导航下的精准神经阻滞技术。在颈椎病、胸椎管狭窄、腰椎滑脱等疾病的显微镜微创手术治疗方面具有丰富的临床经验,在腰椎间盘突出症、腰椎管狭窄症等疾病的脊柱内窥镜手术治疗方面持有独特的见解。积极参与国内外的各项学术研究活动,在国内外核心刊物上发表了多篇SCI论文,与韩国的脊柱外科学术界有着密切的交流和合作。
