擅长:精于四肢(指)离断再植、大面积皮肤缺损及大段骨缺损的修复与重建、复杂四肢骨折与关节损伤、周围神经血管损伤及疾病的治疗、髋膝关节置换,在数字骨科方面有较深研究,特别是3D打印技术、AR技术及医学导航系统的临床应用研究。
技术及专业特长:
精于四肢大范围软组织缺损及骨缺损的修复与重建,复杂断肢(指)离断再植,复杂骨折与关节损伤的治疗,精于周围神经、血管损伤的修复治疗,对复杂性周围血管疾病的开放手术及微创介入治疗,特别是复杂骨盆骨折微创治疗,复杂髋膝关节置换,关节镜微创诊疗以及数字骨科方面有深入研究,尤其是3D打印、AR及电磁导航等技术在临床的应用及研究。
1)复杂断肢(指)再植修复:完成了9个月大婴儿断指再植手术,是当时世界上报道年龄最小的再植病例;完成世界第17例十指完全离断再植手术,并成为世界第一例功能完全恢复的病例。
|
|
|
2)四肢大范围组织缺损、大段骨缺损修复与功能重建:采用吻合血管神经的皮瓣移植修复、采用多个组织组合移植修复大面积皮肤缺损、骨缺损及其他组织缺损,采用骨段牵伸滑移技术,修复四肢长骨大段骨缺损及重建肢体功能。
|
| ![]() |
| ![]() |
车祸后小腿大面积皮肤缺损合并骨缺损 | 清创后皮肤缺损约25cm×10cm | 胫骨中段骨缺损约17cm | 术后皮肤伤口愈合 | 术后骨愈合 |
3)复杂四肢骨折与关节损伤、复杂骨盆髋臼骨折的治疗:精于四肢复杂骨折与关节损伤的闭合手法复位及微创固定,骨盆骨折的微创治疗、复杂髋臼骨折、下肢多发骨折闭合复位内固定、小儿骨折手法闭合整复复位穿针内固定。
|
|
|
|
|
|
|
|
|
|
|
|
|
|
|
|
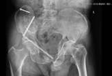
4)髋膝关节置换:擅长各种复杂髋膝关节的置换。
|
|
置换前 | 置换后 |
5)运动损伤性疾病的诊断及治疗:结合数字化影像技术,早期诊断及治疗运动损伤性疾病,采用关节镜微创技术治疗运动状态下髌骨轨迹偏离所引发的骨性关节疾病的治疗,其中膝关节半月板损伤及韧带损伤、肩关节肩袖撕裂、肩关节周围骨折、髋臼与股骨撞击综合征等疾病治疗效果显著。
|
|
|
关节镜下松解 | 治疗前 | 治疗后 |
6)周围血管神经损伤的诊断与治疗:精于周围神经损伤的诊治,特别是周围神经卡压性疾病及臂丛神经损伤性疾病的治疗及功能重建;采用杂交手术方式治疗复杂周围血管疾病。
|
|
外伤导致急性动脉损伤 | 杂交手术成功修复血管 |
|
|
|
|
术前CTA示左侧髂总动脉闭塞 | 术中造影示左侧髂总动脉闭塞 | 术中取出的血栓 | 术中髂动脉狭窄处放置支架,术后左侧髂动脉通畅 |
7)3D金属打印技术在临床的应用:主要用于骨关节的个性化定制和骨肿瘤切除术后的骨骼重建。目前我院的AR+3D金属打印技术,主要用于辅助骨盆、脊柱巨大肿瘤切除及骨骼重建手术。

8)磁导航引导下的可视化骨折复位、微创内固定治疗:特别是在复杂骨盆骨折的可视化、微创化内固定治疗及脊柱手术磁导航修复的可视化、微创化固定的相关治疗。

|
电磁导航引导下辅助置入椎弓根螺钉 |
9)基于5G磁导航机器人系统开展远程治疗:在国内率先应用5G网络磁导航机器人系统进行远程手术,将临床手术过程实现可视化、微创化、远程化、移动化;将术前检查、术中手术及监测、术后处置等手术过程集成于5G磁导航机器人系统应用中,特别是在疫情期间,构建了5G网络下的远程移动辅助诊疗生态系统。

成果及荣誉:
自参加工作以来,一直奋战在临床第一线,在临床、教学、科研及医院管理方面成绩突出,不断探索,勇于创新,在国内外刊物上发表专业论文100余篇,参编著作3部,专著1部。作为硕、博研究生导师,多年来培养专业型、科研型研究生40余名,博士研究生6名,他们多数已成为行业中的骨干力量。
主持开展新技术、新项目40多项,多项科研成果填补省内及国内技术空白。以第一完成人获得国家科技进步奖二等奖1项、三等奖1项,省部级科技进步奖一等奖2项,二等奖4项,三等奖2项。
由于在行业中的突出贡献,丛海波教授先后被评为“山东省专业技术拔尖人才”、“山东省杰出学科带头人”、“卫生部有突出贡献的中青年专家”、“首届齐鲁名医”、“泰山学者特聘专家”、“享受国务院特殊津贴专家”、“全国知识型职工标兵”、“全国劳动模范”、“全国杰出专业技术人才”,曾两次成为中国工程院院士候选人。
2014年作为100名全国专业技术人才代表在人民大会堂做专题报告。中央电视台《焦点访谈》、《人民日报》、《光明日报》、《健康报》等权威媒体,先后对其突出贡献进行专题报道。
2017年3月,丛海波教授在国内率先利用“AR(增强现实)+3D打印”技术,成功实施了骶尾部巨大梭形细胞瘤切除及椎体置换手术,引发央视新闻、央视国际频道、新华网等主流媒体的广泛关注。
6、联系方式
